Premieră medicală în patologia mamară la Spitalul Clinic Județean de Urgență Constanța

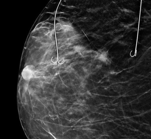
În cadrul Secției Chirurgie I, coordonată de Prof. Univ. Dr. Răzvan Popescu, a fost realizată în premieră o intervenție chirurgicală de conservare a sânului în cazul unei paciente cu trei leziuni maligne, prin tehnica Bracketing cu două harpoane.
Intervenția a fost realizată de o echipă medicală multidisciplinară formată din:
- Iulia Dogaru – chirurgie;
- Cristina Bustiuc – medic primar ATI;
- Alexandru Gavrilă – medic primar radiologie și imagistică medicală, competență în senologie
Rezultatul: conservarea sânului pacientei și un pas important în tratamentele moderne oferite în județul Constanța.
„Această intervenție reprezintă un exemplu concret de excelență medicală, inovație și colaborare interdisciplinară. Felicit echipa SCJU Constanța pentru această reușită remarcabilă, care nu doar că ridică standardele în patologia mamară, ci și redă speranța pacientelor. Este un pas important pentru medicina din județul Constanța”, a transmis Președintele Consiliului Județean Constanța, Florin Mitroi.
Consiliul Județean Constanța va continua să sprijine sistemul medical județean pentru ca astfel de proceduri complexe să devină o normalitate.



